Wisdom Tooth Extractions in Miramar, FL
Most people have wisdom teeth, or third molars. Many, if not most people have difficulty keeping them clean or don’t have room in their mouths for their wisdom teeth to completely break through their gums. This can lead to many problems, including cavities, and misaligned teeth.
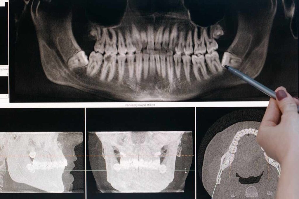
Though we can’t always see our wisdom teeth, they can cause us acute and unexpected pain due to decay or infection. They may remain fully or partially hidden beneath the gums due to a lack of space in the mouth.

Though they often remain below the gumline, wisdom teeth can partially grow outside your gums, leading to tooth decay. This can cause substantial pain if the decay infects the tooth or if the infection spreads to surrounding areas. If you are experiencing wisdom tooth pain, you should consult a dentist right away. Emergency Dental Care USA in Miramar, FL can treat any tooth infection you may have and, if needed, extract the tooth or teeth.
Your emergency is our emergency.
We are here to help. Call or schedule online, and let us get you out of pain today.